What to Expect After Blepharoplasty?
April 1, 2024

When you interact with others, your eyes play a huge role in communicating your emotions. People notice your eyes, so if you have drooping eyelids or puffy under eye bags, you may find people asking if you have gotten enough rest. Tired-looking eyes are a common effect of aging, although thanks to genetics, they can affect you at almost any age. Blepharoplasty or an eyelid lift tightens your eyelids and eliminates bags, so you look alert and energized.
What is Blepharoplasty or an Eyelid Lift?
Blepharoplasty (also known as an eyelid lift or eyelid surgery) is a procedure to correct the appearance of the upper or lower eyelids. Dr. Stile and his team at Stile Aesthetics specialize in rejuvenating your features with natural-looking results that restore your confidence. An eyelid lift treats concerns such as undereye bags, puffiness, drooping lids, or wrinkled skin. This procedure can be performed alone or in combination with other treatments to achieve your best results.
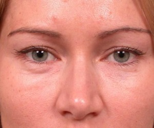
BEFORE & AFTER PHOTOS


*Individual Results May Vary
How Does Blepharoplasty Work?
Dr. Stile performs blepharoplasty using small incisions hidden along the lash line or in the crease of the eyelid to prevent visible scars. He will remove excess skin, then lift and tighten your eyelids for a smoother, less wrinkled appearance. He will also remove or reposition pads of fat that can shift or become more noticeable as you age.
An eyelid lift is often combined with a brow lift to restore youthful brow arches and a smooth, crease-free forehead. Dr. Stile may also use treatments such as dermal fillers or fat transfer to fill in hollow areas under the eyes that contribute to dark circles.
What to Expect After Blepharoplasty
When your eyelid lift is over, you will rest in our recovery area before we release you to return home. You should plan to have someone drive you.
Blepharoplasty Recovery
The most common effects after blepharoplasty are swelling, bruising, and discomfort. Dr. Stile will prescribe pain medication as needed and monitor your progress through follow-up visits. Cold compresses are recommended to control swelling. Most people can return to work in about a week, although you may still have some residual swelling. You can usually return to your exercise routine a few weeks after going back to work.
Blepharoplasty Results
Most of your swelling will fade after about two weeks, letting you appreciate your results. Final results can take several months to be realized. You will notice that you look more refreshed, alert, and youthful. Your results may continue to evolve and improve for several months. You can expect them to last a decade or more, especially with the use of UV-blocking sunglasses and quality skincare products.
Am I a Good Candidate for Blepharoplasty?
Men and women of almost any age can benefit from an eyelid lift to improve the appearance of tired or drooping eyelids. Good candidates should have no major health problems and reasonable expectations. You should not have this procedure if you are pregnant or have certain medical conditions, including an eye infection.
Take the Next Step
Want to learn more about what you can expect from blepharoplasty? Please fill out the form on this page to request an in-person consultation, and one of our knowledgeable medical staff members at Stile Aesthetics will reach out to you promptly. You can also call our office directly at (702) 243-9555.
Stile Aesthetics serves Las Vegas, NV & Surrounding Areas.
*Individual results may vary